全新一体化平台

拥有自主知识产权的核心技术、知名品牌,赋予医疗机构整体技术水平在同行业居于领先地位,在市场竞争中具有优势和持续发展能力

点击查看
点击查看

人工智能强大核心驱动力

肺结节检测人工智能算法,协力企业级影像诊断中心、三维后处理工作站,重新定义医生的日常诊断操作

分级诊疗把专家送到社区

点击查看

支持面向医学影像集中高效调阅展示、移动影像访问、多方交互会诊及高级三维影像分析,让区域内不同医院间或院内院外基于DICOM高保真医学影像的音视频集成交互会诊成为可能

公司介绍

致力于打造世界级中国医学影像、远程医疗领军企业,让全球每一个人享受到优质的医疗服务!

查看更多

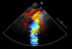
高级三维影像+人工智能应用与超声、内镜、眼科、齿科、核医学、病理、心电十几个专业领域

智能驱动

10多年来为3000+医疗机构提供日常影像诊断/远程医疗平台,成就具有全球影响力的医疗软件品牌

客户案例

公司动态和媒体报道与您分享

新闻中心

查看更多

联系我们

关注海纳医信微信公众号

观看易企秀海纳医信简介

海纳医信(北京)软件科技有限责任公司成立于2008年,由数位留美医学影像信息化专家归国创立,是行业闻名的医学影像大数据平台、远程医疗平台及医学影像人工智能平台的研发、生产与服务提供商。公司总部位于北京市中关村清华科技园,创始团队专注医学影像创新研发20多年,研发多款引领业界的医学影像产品,核心研发团队人均15年行业深耕经验,承担多项重大科研课题,荣获科学技术进步奖一等奖,北京市科学进步奖二等、三等奖。在北京、武汉和美国设有研发中心,在辽宁、河北、陕西、四川、贵州、云南、浙江和福建等省份及美国、一带一路数个国家建立了市场销售及技术服务分子公司、合作伙伴体系。
海纳医信自主研发的医学影像大数据平台、云计算网络化三维影像处理、音视频医学影像实时交互、医学影像人工智能开放式集成平台、电子胶片影像云平台以及远程医疗平台等核心技术和产品处于行业引领水平,并获得多项中国NMPA/美国FDA/欧盟CE及IHE中国和IHE国际认证与相关知识产权授权。
海纳医信的使命是让全球的每一个人享受到优质的医疗服务,愿景是打造世界级中国医学影像、远程医疗领军企业。